I Have Been Battling Skin Cancer For 10 Years, And I Want People To Stop Tanning ASAP

To Anyone Still Tanning:
What in the world are you think-
Sorry, let me try that again.
If you are still tanning, please explain why. Really. Please try to find the words to communicate why you are putting yourself at risk for multiple types of skin cancers (forget the leather-like, prematurely aging skin). Tell me why you fall for the tanning bed specials and opt for the tanning accelerators in Walmart instead of the sunscreen. What is it about the tan that seems more appealing than having skin free of scars, gouges, and craters from what turns into countless biopsies and surgeries?
Well…I’m waiting. Nothing?
Let me try to explain for you, then.
First things first. You have skin that tans easily, so why not? You don’t burn. You tan. Am I right? Only people who are pale with freckles and red hair and burn frequently need to worry about skin cancer, right? Nope. Anyone can get skin cancer. You. Your son. Your niece. Your neighbor. The lady who sings too loudly in the choir at church. Your dad’s boss. Your mom’s talkative hairdresser. Her best friend. The cashier who sold you the ultra-hot, fire-infused, mega-burn tanning lotion.
You are definitely not immune, my friend. Your skin is just as vulnerable as the next person’s to melanoma, squamous, or basal cell carcinoma. Your propensity for tan skin and your ability to turn a golden brown without redness does not exclude you from the ranks of people all over the world who develop skin cancer. It’s yours for the taking. And boy, does it look like you are going after it!
Now, there is that little issue of you thinking that skin cancer isn’t really cancer. You know? We all have that friend who has either said those words or has heard someone say those words. Maybe it was you. C’mon. It’s okay. You can be straight with us. You aren’t afraid of tanning because you think, “It’s just skin cancer.” In fact, it wasn’t that long ago you heard that your mother’s cousin had it, and everyone was relieved it was only skin cancer. Nothing could be further from the truth. Um…it’s cancer. Point blank.
What’s that you say? You don’t have any moles? Oh, okay. That’s another flawed bit of logic you seem to have. All skin cancer isn’t going to stem from a dark, ugly, mole. Some will, yes. All of it? Nope. Not even close. Squamous cell carcinoma might be completely flat, sore, and just a little flaky. You’d totally chalk it up to “dry skin.” My basal cell carcinomas? (I have had surgery for three of them.) I never even saw them. My dermatologist found them, biopsied tiny little specks of dry skin, and immediately scheduled my surgeries for a couple days after the biopsies came back positive. Never noticed them. Did you get that?
Oh, you tan at the beach and your backyard not in tanning beds? Oh, okay. Gotcha. Well, you are not any better off than your neighbor soaking up the ultraviolet light in the local tanning salon. Those UV rays are emanating from the sun just the same. You aren’t doing yourself any favors by getting a tan outdoors. Think about it. Sunglasses and sunscreen bottles are labeled with UV protection for a reason, you know?
You have had one spot removed, and you are still tanning? Well, my mom taught me not to say anything at all if I couldn’t make it nice, so I will leave that right there. I tanned in tanning beds for 15 years and fought my hardest to tan outdoors during my teens.
In 2007, I had a spot removed. It was melanoma. All my tanning ended. That wasn’t the end of my skin cancer battle. It’s been over 10 years, and I have had three basal cell carcinoma surgeries and have undergone Efudex treatment (a topical chemotherapy) three times just to treat precancerous spots on my chest.
Got that?
Precancerous.
That’s because they continue to pop up — 10 years later. I’m in the middle of my fourth bout with precancerous spots. This time I’m treating my face. It is a never-ending battle, and I quit tanning and went full-on sunscreen ninja 10 freaking years ago!
April Brown Pulliam
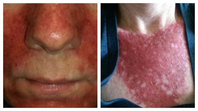
Mid-Efudex treatment to rid my skin of precancerous spots — spots you can’t see
April Brown Pulliam
My chest nearing the end of a four-week treatment with Efudex
April Brown Pulliam
My chest in the healing stages of Efudex treatment
Look, I know you think you look healthy with that tan. Think of it this way: If you stop giving in to the myth that only tan skin is beautiful skin, that will be one less person falling prey to all those horrible body image expectations. That’s good stuff right there.
The cold, hard truth is that you look like you with or without the tan skin. You are going to look a lot better not lying on the surgeon’s table in a few years than you ever will lying in that tanning bed with your sticker on your thigh or on that beach chair dreaming about your skin looking dark against your white beach-picture clothes. Don’t do it. Be smart.
The information is out there. We, the ones who have found out for you, are out here. Consider us your research. Take it from all of us. It was never worth it.
So, here’s your to-do list:
Stop tanning…like yesterday.
Buy sunscreen and use it religiously.
See a dermatologist and follow up. Don’t just go once. Make it a habit.
Do skin checks. If it looks weird and doesn’t go away, make an appointment. Even your family doctor can take a quick biopsy. That’s how my melanoma was found.
And please, please educate. Educate your friends and family, and teach your children to love the skin they are in and wear that sunscreen.
You telling your child or grandchild to put on sunscreen and then hopping into a tanning bed or sitting with your skin unprotected in a lounge chair is the equivalent of you telling them to buckle their seat belts and then turning around and driving the car at 90 miles per hour while not wearing yours. What kind of sense does that make? Now, come on.
So, ready to tell us why it is you are still tanning?
Say it with me: Tanning is just not worth the risks.
Be smart. Stop tanning.
Sincerely,
Someone Who Learned the Hard Way
This article was originally published on